Receive a High Standard of Care With Tim Simpson, D.D.S. in Abilene, TX
Check Out Our Welcome Packet
We invite all of our new patients to explore our welcome packet before they visit us. This packet includes an outline of what you can expect during your first visit, a personal smile quiz, and various patient forms. Taking a moment to complete these forms before your first visit can make your appointment even simpler!
Where You Can Find Our Dentist
Quality Dental Care Is Our Mission
"When you step into our dentist's office, you can be assured that you will be served by a highly qualified, experienced team of dental professionals. Each person who works in Dr. Simpson’s office has pledged to place your comfort, health, and satisfaction above all other priorities. Dr. Simpson is a member of the American Academy of Cosmetic Dentistry (AACD). This association reflects his conviction to uphold integrity in his practice, and his team members."
Our Dentist Is Ready to Meet You at His Office in Abilene, TX

Tim Simpson, D.D.S. can provide you with the dental care you need to maintain a healthy and functional smile for life. Our practice is proud to offer a range of dental services that can uphold the integrity of your teeth and contribute to improving the overall health of your body. From filling a cavity to replacing an entire arch of teeth, we can help you explore solutions to your dental concerns while staying within your budget.
Let our dentist be your partner in improving your oral health. Request a consultation using our online form or call our Abilene office today:
(325) 677-6553
Have Questions?
Meet Our Dentist
Error: No $video_url from $page_url
URL or code copied from YouTube, Vimeo and other video sites should be entered in the Video field
Dr. Simpson's Affiliations
Tour Our Beautiful Office
Our Featured Dental Procedures
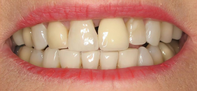
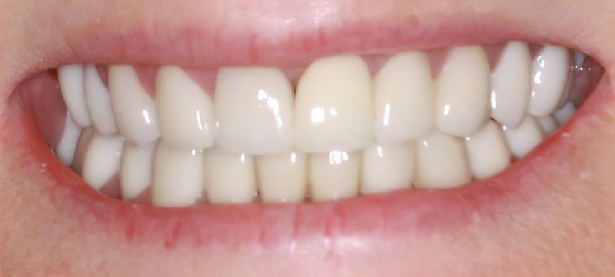
Porcelain Veneers
Tim Simpson, DDS, is known for his skill in cosmetic dentistry. Lifelike porcelain veneers can artfully conceal minor imperfections to enhance the appearance of your smile. He can even combine veneers with other procedures like teeth whitening to achieve a beautiful overall enhancement.
Dental Implants
A missing tooth can impact how you speak, smile, and eat. Tim Simpson, DDS, is an implant dentist who can place both implants and the artificial teeth they support. You can undergo your entire procedure at our comfortable office in Abilene, TX, without having to go out of network for a specialist.
Dentures
If you're missing most or all of the teeth along a dental arch, a traditional or implant-supported denture can restore the function of your mouth, enhance your appearance, and improve your health. With dentures, you can eat all your favorite foods again and get the nutrition you need.
Our Complete Services
Paying for Your Care
Credit Cards
Our Abilene, TX, office accepts most major credit cards to make paying for treatment easy.
Insurance
Our dentist is in-network for many patients. We accept most insurance plans, so our patients can get the care they need.
Financing
If your insurance doesn't cover your procedure, or we're out-of-network but performing necessary dental work, you can finance your procedure through CareCredit® or First Financial Bank.
Let Tim Simpson, D.D.S., Enhance Your Smile
"I have used Dr Simpson for the last 20 years. I cannot say enough about how friendly, awesome and amazing he AND his staff are... He, Dr Simpson, has always been friendly, puts you at ease, makes you smile even when you don't want to." Terri















